美国氩氦刀技术官方网站

公告:

会议新闻

新闻动态 新闻动态 >> 会议新闻 >> 首页 当前位置:

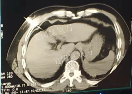
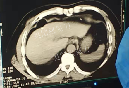
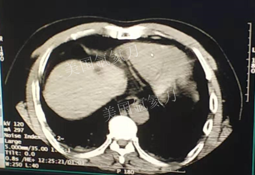
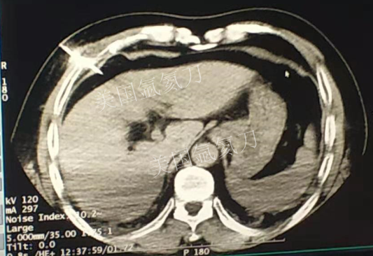
59岁男性肝部氩氦刀手术治疗

发布人:美国氩氦刀技术官方网站    发布时间:2019/3/13 15:42:57